歯周病
歯周病とは、菌により顎の骨が溶かされる病気です。初期状態では、歯茎が腫れたり出血したりします。悪化すると膿みが出てきて顎骨が溶けていき、最終的には歯を支えきれなくなり、歯が抜けてしまいます。歯周病は、かなり進行しないと症状が出てこないので、 早いうちの治療が大切です。
歯茎が赤く腫れ、歯磨きの時に出血し易くなります。ですが、この時点であれば、毎日丁寧に歯磨きをし、汚れを取る心がけをすれば良くなります。
炎症が進むと、歯と歯茎の間の溝(歯周ポケット)がだんだん深くります。歯周ポケットに汚れが入込むと更に炎症が悪化し、ウミが出て口臭もひどくなります。
歯茎全体に炎症が広がり、歯を支えている骨が溶け出します。すると、歯がグラつくようになります。
歯の周りにある骨が溶けてしまうと、歯は自然に抜けてしまいます。
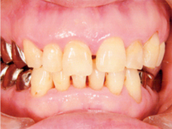
- 当院の症例:歯肉炎
-
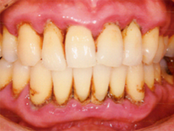
- 当院の症例:歯周病
-
- 歯茎の治療は、すべての治療の基本となるものです。定期的メンテナンスが必要になりますので、スタッフ共々がんばりましょう!


